Casos clínicos reales en ortopedia y traumatología
Aquí comparto experiencias de pacientes con lesiones de cadera, hombro, rodilla y fracturas, mostrando tratamientos y resultados para ayudarte a entender mejor cada caso.
5/8/20241 min read






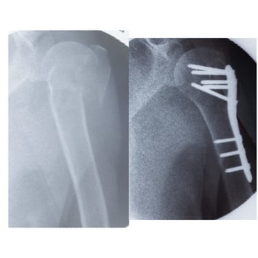
Paciente fémina de 70 años de edad, muy activa e independiente, presenta fractura de húmero proximal multifragmentada. Se opta por tratamiento quirúrgico en el cual se obtienen resueltados excelentes. Actualmente en fisioterapia y realizando actividades de la vida diaria sin limitaciones
FRACTURA DE HUMERO PROXIMAL
el mejor traumatologo de la ciudad de mexico
Contacto
Estoy aquí para ayudarte con tus lesiones deportivas y urgencias traumatológicas
Teléfono +52 55 4344 9663
antoniocastro89@gmail.com
© 2025. All rights reserved.